The Patient
Tawny, a 4 year old female spayed Shepherd mix, came to see me when her owner noticed she wasn't eating well and was feeling lethargic. The dog had been at a horse barn the previous day and had possibly gotten into a bucket of SandRID psyllium pellets for horses. The owner wasn't entirely sure she ate any of it but there was a large bucket available in the barn.
The Case
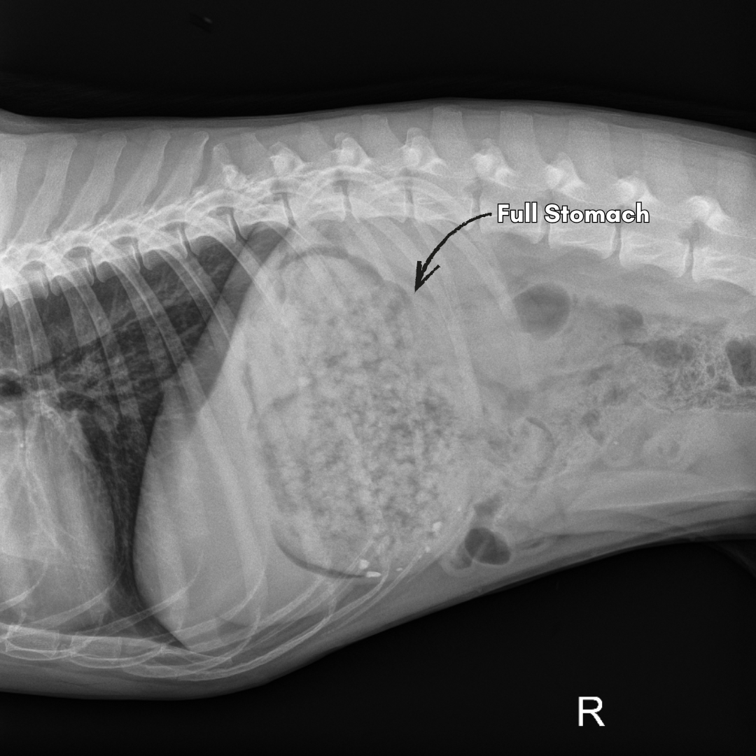
On physical examination, Tawny was dehydrated and seemed painful in her upper abdomen. I recommended taking an xray of her stomach and intestines to see if there was some sort of blockage present. The xray showed a very full stomach with what appeared to be some sort of granular material with some small bits of rocks present. There was also a lot of heterogeneous (grainy) material moving through her small and large intestines. A rectal exam revealed an empty rectum.

The Treatment Plan
I recommended not feeding her for 24 hours and repeating an xray the following day to determine if the material had moved at all. I also gave her some fluids under the skin to help with hydration and an injection for nausea. I rechecked Tawny the following day and she was still not feeling well. The owner brought along a fecal sample since she had had a bowel movement and the contents were very strange. The feces was the consistency of a firm gummy worm and was very wide and black in color. The repeat xrays showed that the stomach contents had not moved at all. It was clear that whatever she had eaten at the barn had caused an obstruction in her stomach. Tawny was referred to the 24 hour hospital for a gastrotomy which is a surgery to open the stomach and remove the foreign material.


The Outcome
Surgery went well and a 15x10cm solid mass-like structure was removed from the stomach. SandRID psyllium pellets are designed to be used in horses to help prevent sand and dirt from accumulating in the intestinal tract and has a high swell volume when it comes in contact with fluids. Poor Tawny had eaten so much of the yummy apple molasses flavored pellets that they swelled up in her stomach to lead to a blockage. This type of obstruction can also happen when a dog ingests "Gorilla Glue" which is a waterproof adhesive used in crafting and woodworking. I'm surprised I haven't seen an issue with SandRID before since we live in an area with a lot of pet horses. Be sure to be on the lookout for this product next time you bring your dog to the barn!
The Drake Center for Veterinary Care is an AAHA-accredited animal hospital located in Encinitas, CA. The Drake Center loves being a source of information for all pet owners across the country however if you have any questions regarding pet care and do not live in Encinitas, CA or surrounding cities, we encourage you to contact your local veterinarian. The Drake Center may use AI to assist in sharing knowledge; the Drake Center doctors verify any medical information shared in our blogs or website.
If you have questions and you'd like to reach out to us, you can call us directly at (760) 452-3190, or you can email us at [email protected]. Don't forget to follow us on social media Facebook, Instagram.